Material Detail

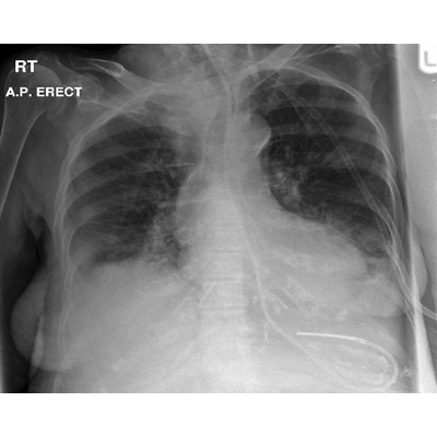
Importance of chest X-ray during nasogastric tube insertion

Importance of chest X-ray during nasogastric tube insertion

This is a research article that articultes the importance of checking the nasogastric tube placement. It states that most nasogastric tube complications or misplacements can be preventable by performing a chest x-ray.

Quality

  • Selected For Peer Review
  • User Rating
  • Comments
  • Learning Exercises
  • Bookmark Collections (3) Bookmark Collections
  • Course ePortfolios
  • Accessibility Info

More about this material

Comments

Log in to participate in the discussions or sign up if you are not already a MERLOT member.